اِس بیماری میں پردۂ بصارت کا مرکزی حصہ اچانک خراب ہو جاتا ہے۔ باقی پردہ مکمل طور پر صحیح ہوتا ہے۔ اِس سے مریض کی سامنے کی نظر اچانک کم ہوجاتی ہے۔ ایسے مریضوں کا پردہ نیچے کی تصویر میں دکھایا گیا ہے۔

اصل میں پردے کا درمیانی حصہ پانی جمع ہونے سے اُکھڑ جاتا ہے۔ جیسا کہ نیچے کی تصاویر سے سمجھا جا سکتا ہے

دائیں جانب والی تصاویر میں OCT کے ذریعے واضح طور پر نظر آ رہا ہے کہ پردہ اُکھڑ کر آگے آ گیا ہے اور دونوں حصوں کے درمیان محلول جمع ہو گیا ہوا ہے۔
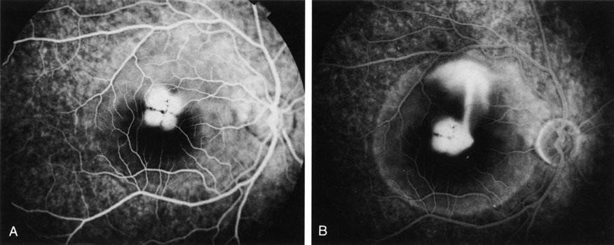
اِس آنکھ کو FFA کے ذریعے ٹیسٹ کیا جائے تو لیکیج نظر آتی ہے جیسے کہ نیچے کی تصویر میں نظر آ رہا ہے:

کیا اِس کا علاج ہو جاتا ہے؟
زیادہ تر مریضوں میں یہ محلول چند ہفتوں میں خود ہی واپس جذب ہو جاتا ہے اور پردۂ بصارت دوبارہ جُڑ جاتا ہے۔ تاہم اِس کے علاج کے بارے میں مختلف تجربات کئے جا رہے ہیں جس کی وجہ سے مختلف ڈاکٹروں آراء میں اختلاف پایا جاتا ہے۔ مختلف دوائیاں بھی تجویز کی جاتی ہیں اور Anti-VEGF انجیکشن بھی لگائے جاتے ہیں۔
کئی لوگوں میں آپٹک ڈسک پر سوراخ مل جاتا ہے۔
البتہ نظر کتنی بحال ہو گی اِس کے بارے میں یقین سے بتانا ممکن نہیں ہوتا تاہم زیادہ مریضوں میں تقریباً نارمل ہو جاتی ہے۔
