Senior Eye Surgeon with special interest in Vitreoretina, Oculoplasty, laser eye surgery, Phaco surgery with multifocal IOLs, having experience of more than 34 years
آپ کا کہنا ہے کہ یہ بیماری عموماً سالوں جان نہیں چھوڑتی بلکہ ساری ساری عمر بھی ساتھ رہ سکتی ہے تو کیا اِس سے نظر بھی ضائع ہو سکتی ہے؟
اگر قرنیہ اِس حد تک خراب ہو جائے کہ اس سے بینائی مستقل خراب ہو جائے تو پھر صرف قرنیہ کی پیوند کاری سے ہی نظر بحال ہو سکتی ہے۔
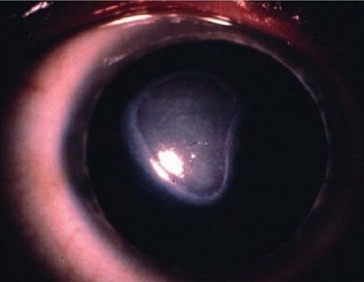
الرجی سے قرنیہ پر بننے والا زخم
قرنیہ پر بننے والے زخموں نے قرنیہ بالکل ہی خراب کر دیا ہے